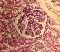
Nierenkörperchen

A Nierenkörperchen; B Hauptstück; C Mittelstück; D Juxtaglomeruläre Apparat
1 Basalmembran; 2 Bowmansche Kapsel, parietales Blatt; 3 Bowmansche Kapsel, viszerales Blatt; 3a Podozytenfüsschen; 3b Podozyt; 4 Lumen der Bowman-Kapsel (Harnraum); 5a Mesangium – intraglomeruläre Mesangiumzellen; 5b Mesangium – extraglomeruläre Mesangiumzellen; 6 Juxtaglomeruläre Zellen; 7 Macula densa; 8 Miozyten (Muskelzellen der Arteriolenwand); 9 Arteriola afferens; 10 glomeruläre Kapillaren; 11 Arteriola efferens
Ein Nierenkörperchen oder Corpusculum renale (Corpusculum renis; auch Malpighi-Körperchen, benannt nach Marcello Malpighi; früher Nierenkörnchen[1]) ist Teil des Nephrons und bildet den Primärharn als ein Ultrafiltrat des Blutes. Die etwa 0,2 mm großen kugeligen Gebilde liegen in der Rinde der Niere und bestehen je aus einem kapillären Gefäßknäuel, Glomerulus (Mehrzahl Glomeruli, oder Glomerulum, Mehrzahl Glomerula; Verkleinerungsform zu lateinisch Glomus ‚Knäuel‘) genannt, das umschlossen wird von der doppelwandigen Bowman-Kapsel.
Beide Strukturen (Glomerulum mit seiner Bowmanschen Kapsel) bilden zusammen das Nierenkörperchen; es entspricht der Blut-Harn-Schranke.[2] Dieses Malpighische Körperchen bildet zusammen mit dem zugehörigen Nierenkanälchen (Tubulus) ein Nephron als kleinste funktionelle Niereneinheit (Nierenfunktionseinheit). Mehrere Tubuli vereinigen sich zu einem Sammelrohr (Tubulus renalis colligens).
Gefäße
Man kann am Nierenkörperchen einen Gefäßpol mit genau einem zu- und einem wegführenden Blutgefäß und auf der anderen Seite einen Harnpol mit der Öffnung zum Tubulussystem unterscheiden. Das zuführende Gefäß für den Glomerulus ist die Arteriola glomerularis afferens (oder kurz das Vas afferens). Das Vas afferens stülpt sich in die Bowman-Kapsel hinein und verzweigt sich in ungefähr 30 verzweigte, anastomosierende, aber parallelgeschaltete Kapillarschlingen. Der Druckabfall bei der Passage des Blutes ist durch den parallelen Verlauf der Kapillaren nur gering. Das Vas efferens führt vom Glomerulus weg in Richtung Zentrum der Niere und bildet um das Tubulussystem des Nephrons, aus dem es entstammt, erneut ein Kapillargebiet. An das Vas afferens ist der sogenannte juxtaglomeruläre Apparat angelagert. Es ist eine Kontaktstelle zum Tubulus desselben Nephrons, der zunächst zum Zentrum der Niere wegführt und dann schlaufenförmig in die Nähe seines Ausgangspunktes zurückkehrt. Hier spielen sich bedeutsame Regulationsvorgänge ab.
1: Gefäßpol mit Juxtaglomerulärem Apparat
2: Harnpol des Glomerulus
3: proximaler Tubulus
4: Distaler Tubulus
Bowman-Kapsel
Die Bowman-Kapsel, auch Bowmansche Kapsel, besitzt zwei Schichten. Zwischen innerem und äußerem Blatt der Bowman-Kapsel entsteht ein schmaler Raum, in den der Primärharn eintritt und direkt durch die Öffnung der Kapsel zum proximalen Tubulus abfließt.
Blut-Harn-Schranke
Die für die Funktion des Nierenkörperchens entscheidende Struktur ist die Blut-Harn-Schranke. Sie wird vom Kapillarendothel, den Podozyten und einer dazwischenliegenden, gemeinsamen Basalmembran gebildet. Die Schranke entscheidet darüber, welche Moleküle filtriert werden, und enthält hochspezialisierte Strukturen.
- Das Endothel ist vom fenestrierten (gefensterten) Typ. Die Fenster sind nicht (wie bei anderen gefensterten Endothelien) von einem Diaphragma verschlossen. Zudem besitzt es eine stark negativ geladene Glykokalix aus Sialoglykoproteinen.
- Die glomeruläre Basalmembran ist mit 300 Nanometern besonders dick und enthält zahlreiche negativ geladene Proteoglykane. Es handelt sich um die Basallaminae der Podozyten und des Kapillarendothels, die miteinander verschmolzen sind, so dass sich eine Lamina rara externa, Lamina densa und eine Lamina rara interna ausbildet. Der Lamina densa wird eine mechanische Barrierefunktion zugeschrieben.
- Die Podozyten besitzen primäre und sekundäre Verzweigungen. Zwischen diesen Fortsätzen ist eine Schlitzmembran ausgebildet. Die sehr feinen, außerordentlich zahlreichen, miteinander verzahnten Sekundärfortsätze bedecken von der Harnseite vollständig die Basalmembran. In den Schlitzen zwischen den verzahnten Füßchen befindet sich ein Schlitzdiaphragma (ähnlich den Adhärenskontakten, Protein Nephrin). Auch die Podozyten besitzen eine negativ geladene Glykokalix.
Die zahlreichen negativen Ladungen in allen Schichten der Blut-Harn-Schranke verhindern, dass zum Beispiel die bei pH 7,4 negativ geladenen Plasmaproteine filtriert werden (Ladungsselektivität). Außerdem sind Basalmembran, Podozyten und Schlitzmembran nur durchlässig für Moleküle bis zu einem Radius von acht Nanometern (ca. 70 kDa) (Größenselektivität). Insgesamt ergibt sich eine Permselektivität des Filters nach Ladung und Größe, so dass zum Beispiel Albumin als wichtigstes Plasmaprotein mit 69 kDa, negativer Gesamtladung und einem Molekülradius von 3,5 Nanometern nur in sehr geringem Ausmaß den Filter passieren kann.
-
Glomerulus im Rasterelektronenmikroskop (REM). Bildbreite ca. 115 µm. -
Glomerulus im REM. Bildbreite ca. 22,8 µm. -
Glomerulus mit gebrochener Kapillare im REM.
Bildbreite ca. 11,5 µm. -
Innenansicht des gefensterten Endothels (Fenestrae) im Glomerulus der Mäuseniere im REM. Bildbreite ca. 1,1 µm.
Mesangium
Das Mesangium ist ein besonderes Bindegewebe innerhalb und außerhalb des Nierenkörperchens. Die so genannten Mesangiumzellen (Mesangiozyten) stützen die Kapillarwände, phagozytieren und sind auch an der Informationsweiterleitung bei Regulationsvorgängen (tubuloglomeruläres Feedback) beteiligt. Die extraglomerulären Mesangiumzellen sind Bestandteil des juxtaglomerulären Apparates.
Funktion
Pro Minute passieren beim Menschen etwa 1 l Blut bzw. 600 ml Blutplasma die Glomeruli der Nieren (Renaler Plasmafluss), wovon etwa 20 %, also etwa 120 ml pro Minute filtriert werden (Glomeruläre Filtrationsrate).[3] Pro Tag werden so etwa 180 l Primärharn gebildet.[4] Davon werden 80 bis 90 % in den proximalen Tubuli rückresorbiert. Die hormonregulierte Feinabstimmung erfolgt ADH-abhängig in den Hauptzellen der Sammelrohre, so dass insgesamt 99 % des Wassers rückresorbiert und etwa 1,5 l Urin pro Tag gebildet werden.[4]
Entscheidend für die Filtration ist die Druckdifferenz, also der Unterschied der verschiedenen Drücke in den Kapillaren und in den Bowman-Kapseln, die sich jeweils aus dem hydrostatischen und dem kolloidosmotischen Druck zusammensetzen. Während der Passage durch den Glomerulus nimmt der hydrostatische Druck praktisch nicht ab, denn durch den großen Gesamtquerschnitt der parallelgeschalteten Kapillaren ist der Widerstand gering. Da ein Ultrafiltrat abgepresst wird und die Plasmaproteine zurückbleiben, steigen während der Kapillarpassage kontinuierlich die Proteinkonzentration und somit der kolloidosmotische Druck, so dass der effektive Filtrationsdruck absinkt und am Ende Null erreicht, wenn das Filtrationsgleichgewicht erreicht wird.
Embryologie
In der Embryologie werden die Begriffe Bowmansche Kapsel, Nephron, Glomerulus und Nierenkanälchen synonym für völlig andere Strukturen mit völlig anderen Funktionen im ersten Entwicklungsmonat verwendet.[5] Die beiden Nachnieren nehmen erst in der zweiten Schwangerschaftshälfte ihre Funktion auf. Der Urin wird dann in die Amnionhöhle ausgeschieden. Die Amnionflüssigkeit (Fruchtwasser) wird vom Fötus geschluckt und in seinem Magen-Darm-Trakt resorbiert. Die harnpflichtigen Stoffe gelangen so über den kindlichen Blutkreislauf und die Plazenta in das mütterliche Blut. Dann werden sie über die Nieren der Mutter und ihre Harnblase ausgeschieden.
Literatur
- Uwe Gille: Harn- und Geschlechtssystem, Apparatus urogenitalis. In: Franz-Viktor Salomon, H. Geyer, Uwe Gille (Hrsg.): Anatomie für die Tiermedizin. 2. erweiterte Auflage. Enke-Verlag, Stuttgart 2008, ISBN 978-3-8304-1075-1.
- Werner Linß, Jochen Fanghänel: Histologie: Zytologie, allgemeine Histologie, mikroskopische Anatomie. Verlag Walter de Gruyter, Berlin / New York 1998, ISBN 3-11-014032-2, S. 207–209.
Einzelnachweise
[Bearbeiten | Quelltext bearbeiten]- ↑ Dietrich Wilhelm Heinrich Busch, Johann Friedrich Dieffenbach, E. Horn, Johann Christian Jüngken, Heinrich Friedrich Link, Johannes Müller, Emil Osann (Hrsg.): Encyclopädisches Wörterbuch der medicinischen Wissenschaften. 25. Band, Verlag von Veit et Comp., Berlin 1841, Nachdruck, Musketier-Verlag, Bremen 2023, ISBN 978-3-9853-3696-8, S. 260.
- ↑ Renate Lüllmann-Rauch, Friedrich Paulsen: Taschenlehrbuch Histologie. 4. Auflage. Georg Thieme Verlag, 2012, ISBN 978-3-13-151664-0,
S. 466ff. (Google Books)
- ↑ Robert Franz Schmidt, Florian Lang: Physiologie des Menschen: Mit Pathophysiologie. 30. Auflage. Springer, 2007, ISBN 978-3-540-32908-4, S. 688.
- ↑ Hochspringen nach: a b Ursula Baum: Anatomie und Physiologie. 7. Auflage. Band 1, Elsevier, Urban & Fischer-Verlag, 2004, ISBN 3-930192-62-4, S. 164.
- ↑ Jan Langman: Medizinische Embryologie, 5. Auflage, Georg Thieme Verlag, Stuttgart 1977, ISBN 3-13-446605-8, Seiten 168 bis 176.


© biancahoegel.de
Datum der letzten Änderung: Jena, den: 30.03. 2026
